| LET OP: Dit topic is meer dan drie jaar geleden geplaatst. De informatie is mogelijk verouderd. |
[ archief ] gemiste diagnose tandarts ?
gemiste diagnose tandarts ?
mijn nogal lange verhaal ,
na 25 jr dezelfde tandarts te hebben gehad 2½jr geen tandarts gehad / bezocht
op verstandskiezen trekken na geen aanzienlijke problemen gehad .
na 2½ jr geen tandarts bezocht te hebben ,kreeg ik kiespijn bleek uitgeschreven te zijn bij mijn eigen tandarts , dus ingeschreven bij een andere praktijk .
door een wortelkanaal behandeling te starten helpt deze mij tijdens spoedbezoek van mijn kiespijn af . afspraak gemaakt voor een week later controle
stelt meerdere gaatjes vast / 2 grotere gaatjes vermoedelijk wortelkanaalbehandelingen nodig .
beide zouden in meerdere afspraken gedaan worden .
( 8 bezoekjes)
ook wordt er nog een composietkroon op voortand gemaakt om het mooier te laten lijken. en inderdaad dure maar mooie vulling geworden.
betreft de wortelkanaal behandelingen 3 in totaal minder geluk , gestart gespoeld geveild etc. maar regelmatig tijdens spoeddiensten bij verschillende dient doende tandartsen ge heropend .( 6 bezoekjes)
op een of andere manier blijven ze ontsteken , dus danig dat de tandarts zelfs 1 kies heeft moeten trekken.
ook merk ik op dat mijn tandvlees trekt en tijdens poetsen bloed, dit bespreek ik met de tandarts en hij zegt ja het is door alles geïrriteerd en ontstoken goed schoonhouden advies mondwater (gebruik al jaren)
dubbelpech tijdens eten breekt een noodvulling van mijn behandelde kies incl stukje kies af, dus ik bel op voorafspraak .
tijdens afspraak vertel dat de kies nog iets gevoelig is maar dat ik graag weer noodvulling er op wil ivm scherp randje .Deze behandeling is dus danig gebeurd dat je er tandarts angst van zult krijgen zonder verdoving geboord geveild en gespoeld in een nog levende kies ( kanaal gemist) .
omdat meerdere behandelingen niet compleet pijnloos waren , en laatste de druppel was besloot ik in 2016 een andere tandarts te gaan zoeken.
tis of het zo moest zijn maar het is herfst en bladderen liggen op de grond en daar lag ik ,ik gleed uit blijkbaar zo hard speling op ondertand.
durfde hiermee niet te wachten tot januari maar wilde ook absoluut door de laatste pijnlijke ervaring naar mijn eigen tandarts dus je raad het andere tandarts gebeld.
wel 1 hele mm was niet dus danig verontrustend dat ik met spoed moest komen advies tand ontzien.
dit 2 weken gedaan maar tot mijn verbazing de tand er naast ook weliswaar minder maar ook speling .
maakte me zorgen en belde weer terug .
De tandarts zelf aan de lijn , legde hem het verhaal en deels ervaringen eigentandarts uit .
omdat ik me zorgen maakte ,nodigde hij me uit om de volgende dag te komen en hij zou dan in 1e instantie alleen even kijken.
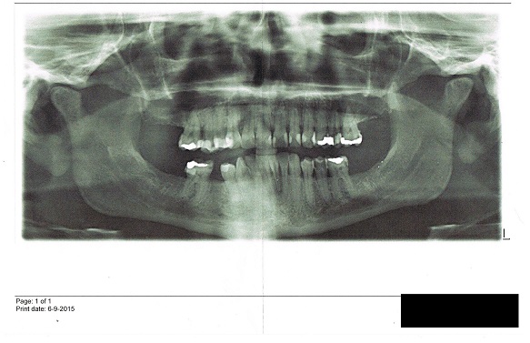
Deze tandarts kent mij niet dus ik dacht misschien handig een overzicht foto mee te nemen (2maanden terug gekregen tijdens bezoek aan spoeddienst).
Deze foto laat ik zien aan deze tandarts (pardontoloog)
tot mijn grote schrik blijkt mijn gebit in een parodontitis kaak te staan er is zo veel kaakbot verloren gegaan dat behoud van mijn gebit niet mogelijk is volgens deze tandarts .nu is door de val tand los komen te staan maar dit had sowieso niet lang meer geduurd.
gesprek duurde wel 45min omdat het zo overweldigend was . zelfs vastzetten van voortanden is onmogelijk .
conclusie van tandarts :hier moet je geen geld meer in investeren , en enige reële oplossing is een kunstgebit. redelijk goed onderhouden tanden ,maar ernstige parodontitis ernstige jarenlange kaakbotafbraak vanaf geschat 12 jr oud .
om alles even te laten bezinken moest ik er maar even over na denken hoe en wat en wanneer en dan kon ik weer contact op nemen.
tot besef gekomen wat mij verteld is , heb ik contact op genomen met mijn eigen tandartspraktijk
uitgeschreven sowieso , gevraagd wat klachten procedure is ( via mail ) klacht geformuleerd de tandarts had dit moeten kunnen vaststellen had mij veel pijn en onkosten bespaard .
nu in afwachting op reactie van desbetreffende tandarts
reden om dit op deze forum te plaatse, controle van tandarts op het gebit is goed helaas niet op het onderliggend probleem tandvleesontstekingen .
(dit is blijkbaar de reden voor zo nu en dan bloeden van mijn tandvlees tijdens poetsen , en daardoor ook de wortelpuntontstekingen ) . alleen wortelkanaalbehandelingen en gaatjes vullen is / was/ zal niet genoeg zijn om parodontitis te behandelen helaas is alles voor mijn gebit te laat .
na 25 jr dezelfde tandarts te hebben gehad 2½jr geen tandarts gehad / bezocht
op verstandskiezen trekken na geen aanzienlijke problemen gehad .
na 2½ jr geen tandarts bezocht te hebben ,kreeg ik kiespijn bleek uitgeschreven te zijn bij mijn eigen tandarts , dus ingeschreven bij een andere praktijk .
door een wortelkanaal behandeling te starten helpt deze mij tijdens spoedbezoek van mijn kiespijn af . afspraak gemaakt voor een week later controle
stelt meerdere gaatjes vast / 2 grotere gaatjes vermoedelijk wortelkanaalbehandelingen nodig .
beide zouden in meerdere afspraken gedaan worden .
( 8 bezoekjes)
ook wordt er nog een composietkroon op voortand gemaakt om het mooier te laten lijken. en inderdaad dure maar mooie vulling geworden.
betreft de wortelkanaal behandelingen 3 in totaal minder geluk , gestart gespoeld geveild etc. maar regelmatig tijdens spoeddiensten bij verschillende dient doende tandartsen ge heropend .( 6 bezoekjes)
op een of andere manier blijven ze ontsteken , dus danig dat de tandarts zelfs 1 kies heeft moeten trekken.
ook merk ik op dat mijn tandvlees trekt en tijdens poetsen bloed, dit bespreek ik met de tandarts en hij zegt ja het is door alles geïrriteerd en ontstoken goed schoonhouden advies mondwater (gebruik al jaren)
dubbelpech tijdens eten breekt een noodvulling van mijn behandelde kies incl stukje kies af, dus ik bel op voorafspraak .
tijdens afspraak vertel dat de kies nog iets gevoelig is maar dat ik graag weer noodvulling er op wil ivm scherp randje .Deze behandeling is dus danig gebeurd dat je er tandarts angst van zult krijgen zonder verdoving geboord geveild en gespoeld in een nog levende kies ( kanaal gemist) .
omdat meerdere behandelingen niet compleet pijnloos waren , en laatste de druppel was besloot ik in 2016 een andere tandarts te gaan zoeken.
tis of het zo moest zijn maar het is herfst en bladderen liggen op de grond en daar lag ik ,ik gleed uit blijkbaar zo hard speling op ondertand.
durfde hiermee niet te wachten tot januari maar wilde ook absoluut door de laatste pijnlijke ervaring naar mijn eigen tandarts dus je raad het andere tandarts gebeld.
wel 1 hele mm was niet dus danig verontrustend dat ik met spoed moest komen advies tand ontzien.
dit 2 weken gedaan maar tot mijn verbazing de tand er naast ook weliswaar minder maar ook speling .
maakte me zorgen en belde weer terug .
De tandarts zelf aan de lijn , legde hem het verhaal en deels ervaringen eigentandarts uit .
omdat ik me zorgen maakte ,nodigde hij me uit om de volgende dag te komen en hij zou dan in 1e instantie alleen even kijken.
Deze tandarts kent mij niet dus ik dacht misschien handig een overzicht foto mee te nemen (2maanden terug gekregen tijdens bezoek aan spoeddienst).
Deze foto laat ik zien aan deze tandarts (pardontoloog)
tot mijn grote schrik blijkt mijn gebit in een parodontitis kaak te staan er is zo veel kaakbot verloren gegaan dat behoud van mijn gebit niet mogelijk is volgens deze tandarts .nu is door de val tand los komen te staan maar dit had sowieso niet lang meer geduurd.
gesprek duurde wel 45min omdat het zo overweldigend was . zelfs vastzetten van voortanden is onmogelijk .
conclusie van tandarts :hier moet je geen geld meer in investeren , en enige reële oplossing is een kunstgebit. redelijk goed onderhouden tanden ,maar ernstige parodontitis ernstige jarenlange kaakbotafbraak vanaf geschat 12 jr oud .
om alles even te laten bezinken moest ik er maar even over na denken hoe en wat en wanneer en dan kon ik weer contact op nemen.
tot besef gekomen wat mij verteld is , heb ik contact op genomen met mijn eigen tandartspraktijk
uitgeschreven sowieso , gevraagd wat klachten procedure is ( via mail ) klacht geformuleerd de tandarts had dit moeten kunnen vaststellen had mij veel pijn en onkosten bespaard .
nu in afwachting op reactie van desbetreffende tandarts
reden om dit op deze forum te plaatse, controle van tandarts op het gebit is goed helaas niet op het onderliggend probleem tandvleesontstekingen .
(dit is blijkbaar de reden voor zo nu en dan bloeden van mijn tandvlees tijdens poetsen , en daardoor ook de wortelpuntontstekingen ) . alleen wortelkanaalbehandelingen en gaatjes vullen is / was/ zal niet genoeg zijn om parodontitis te behandelen helaas is alles voor mijn gebit te laat .
Re: gemiste diagnose tandarts ?
Zeg dat wel!snoepie84 schreef:mijn nogal lange verhaal ,
Je beantwoord je eigen vraag niet: wat is de reden om het op het forum te plaatsen? Wat wil je bereiken?snoepie84 schreef:reden om dit op deze forum te plaatse, controle van tandarts op het gebit is goed helaas niet op het onderliggend probleem tandvleesontstekingen .
(dit is blijkbaar de reden voor zo nu en dan bloeden van mijn tandvlees tijdens poetsen , en daardoor ook de wortelpuntontstekingen ) . alleen wortelkanaalbehandelingen en gaatjes vullen is / was/ zal niet genoeg zijn om parodontitis te behandelen helaas is alles voor mijn gebit te laat .
Re: gemiste diagnose tandarts ?
Als bij donderslag komt een tandarts met deze diagnose (paradontitis).
Dat heb ik dus een flink aantal jaren geleden ook gehad bij mijn eigen tandartsenpraktijk. Was ineens een nieuwe tandarts gekomen, waarbij ik in de stoel kwam.
Na een controle kwam hij met het bericht dat er heeeeel grote problemen waren met nijn gebid.
Eigenlijk was een aantal grotere ingrepen aan tandvlees en kaak noodzakelijk. Hij waarschuwde meteen dat het veel zou gaan kosten, en dat de ingrepen niet leuk zouden zijn....
Ik kreeg een uitvoerig rappaort mee over de staat van mijn bericht en de eerste behandelingen.
Vertrouwde het absoluut niet. Afspraak gemaakt voor second opinion bij een onbekende tandarts in het dorp. Was meteen welkom en verteld dat hij mijn gebid eens goed moest bekijken, zonder verdere toelichting en dat ie daarna zou horen wat er speelde.
Hij ontdekte slechts 2 gaatjes.........
Toen liet ik de brief kezen van mijn eigen tandarts. Nou om kort te gaan, dat werd bij mijn eigen tandarts nog een enorme rel. De tandarts bleek "wat teveel op tandvlees te letten" !
Nu al jaren tevreden bij de "secondopinion" tandarts. Later vertelde deze dat hij door mijn vorige tandarts nog lastiggevallen was, omdat hij als collega hem was afgevallen !
Raar volk die tandartsenwereld.
Dus vraag een second opinion aan, om te controleren of er echt wel sprake is van Paradontitis in ernstige vorm. Het heeft mijn gebid gered van de ondergang.....
Dat heb ik dus een flink aantal jaren geleden ook gehad bij mijn eigen tandartsenpraktijk. Was ineens een nieuwe tandarts gekomen, waarbij ik in de stoel kwam.
Na een controle kwam hij met het bericht dat er heeeeel grote problemen waren met nijn gebid.
Eigenlijk was een aantal grotere ingrepen aan tandvlees en kaak noodzakelijk. Hij waarschuwde meteen dat het veel zou gaan kosten, en dat de ingrepen niet leuk zouden zijn....
Ik kreeg een uitvoerig rappaort mee over de staat van mijn bericht en de eerste behandelingen.
Vertrouwde het absoluut niet. Afspraak gemaakt voor second opinion bij een onbekende tandarts in het dorp. Was meteen welkom en verteld dat hij mijn gebid eens goed moest bekijken, zonder verdere toelichting en dat ie daarna zou horen wat er speelde.
Hij ontdekte slechts 2 gaatjes.........
Toen liet ik de brief kezen van mijn eigen tandarts. Nou om kort te gaan, dat werd bij mijn eigen tandarts nog een enorme rel. De tandarts bleek "wat teveel op tandvlees te letten" !
Nu al jaren tevreden bij de "secondopinion" tandarts. Later vertelde deze dat hij door mijn vorige tandarts nog lastiggevallen was, omdat hij als collega hem was afgevallen !
Raar volk die tandartsenwereld.
Dus vraag een second opinion aan, om te controleren of er echt wel sprake is van Paradontitis in ernstige vorm. Het heeft mijn gebid gered van de ondergang.....
Re: gemiste diagnose tandarts ?
@moneyman bereiken in die zin ..... als de tandarts er niet op let misschien zelf op letten / extra aankaarten
@ Brahms kan me voorstellen dat het een rel is geworden bij je ''eigen voormalige tandarts'' nog al een verschil diagnose
misschien idd een goed idee om een second opinion te vragen bij een tandarts , zo als ik jouw ervaring leest kan het dus echt alle kanten op .
@ Brahms kan me voorstellen dat het een rel is geworden bij je ''eigen voormalige tandarts'' nog al een verschil diagnose
misschien idd een goed idee om een second opinion te vragen bij een tandarts , zo als ik jouw ervaring leest kan het dus echt alle kanten op .
Re: gemiste diagnose tandarts ?
Inderdaad, ik denk er nog wel eens aan terug. Nu snel geschat 15 jaren verder. Mijn gebit is nog steeds prima. Paradontitis is nooit meer voorbij gekomen bij een controlle !
Wijze les voor mij: Is iets vreemd of onverwachts, vraag een onderzoek elders aan !
Wijze les voor mij: Is iets vreemd of onverwachts, vraag een onderzoek elders aan !
Re: gemiste diagnose tandarts ?
update : reactie terug gekregen op mijn klacht/vraagstellig aan mijn voormalige tandarts
hij schrijft letterlijk '' het niet akkoord te zijn met nieuwe tandarts betreft diagnose ernstige parodontitis'' tevens acht hij het niet nodig alle elementen te trekken en een prothese aan te laten meten , sterker nog hij raad dit zelfs gezien mijn leeftijd alsnog af .
conclusie : 2 nogal drastisch uit een lopende diagnoses , aankomende week een 3e opinion regelen
hij schrijft letterlijk '' het niet akkoord te zijn met nieuwe tandarts betreft diagnose ernstige parodontitis'' tevens acht hij het niet nodig alle elementen te trekken en een prothese aan te laten meten , sterker nog hij raad dit zelfs gezien mijn leeftijd alsnog af .
conclusie : 2 nogal drastisch uit een lopende diagnoses , aankomende week een 3e opinion regelen
Re: gemiste diagnose tandarts ?
Het is niet altijd de vorige tandarts die het verkeerd gedaan heeft..of als enige ...
Helaas.
Op zich is elk probleem ook aan een leek goed uit te leggen. Gaatjes en slecht aansluitende vullingen kan je op een foto laten zien, met uitleg waar je op moet letten en naar moet kijken. Daarnaast is een foto alleen nooit heilig.
Hetzelfde geldt voor parodontale problemen.
Ook is altijd het verloop in de tijd van belang, dus liefst oude foto's en zo erbij.
Helaas.
Op zich is elk probleem ook aan een leek goed uit te leggen. Gaatjes en slecht aansluitende vullingen kan je op een foto laten zien, met uitleg waar je op moet letten en naar moet kijken. Daarnaast is een foto alleen nooit heilig.
Hetzelfde geldt voor parodontale problemen.
Ook is altijd het verloop in de tijd van belang, dus liefst oude foto's en zo erbij.
Re: gemiste diagnose tandarts ?
in eerste instantie ging ik er ook niet vanuit dat mijn voormalige tandarts iets verkeerd had gedaan ,
ik heb /ben dan ook uitgeschreven om de reden in januari andere tandarts dichterbij huis te nemen/zoeken. (liefst n pijnloze
)
kort samengevat : beide tandartsen zelfde foto van 6 september 2015
tandarts 1 : geen ernstige parodontitis /botafbraak ( 16 oktober 2015)
tandarts 2 : ernstige parodontitis / drastisch botafbraak prothese noodzakelijk (24 november 2015
gezien het verschil , heb ik de 1e tandarts benaderd klacht /vraagstelling zit nogal een contrast in .
nu december blijft tandarts 1 bij zijn diagnose en tandarts 2 ook
ik mag dan een leek zijn maar ik kan toch moeilijk door ene tandarts tanden & kiezen laten repareren die volgens zijn collega niet te redden vallen .
nog even voor de duidelijkheid beide tandartsen hebben een dossier van 28 jr tandartsbezoeken tot hun beschikking met aardig wat foto s .
helaas sta ik er niet lachend op , hoop in toekomst wel met eigen / kunst tanden is nog de vraag dan
ik heb /ben dan ook uitgeschreven om de reden in januari andere tandarts dichterbij huis te nemen/zoeken. (liefst n pijnloze
kort samengevat : beide tandartsen zelfde foto van 6 september 2015
tandarts 1 : geen ernstige parodontitis /botafbraak ( 16 oktober 2015)
tandarts 2 : ernstige parodontitis / drastisch botafbraak prothese noodzakelijk (24 november 2015
gezien het verschil , heb ik de 1e tandarts benaderd klacht /vraagstelling zit nogal een contrast in .
nu december blijft tandarts 1 bij zijn diagnose en tandarts 2 ook
ik mag dan een leek zijn maar ik kan toch moeilijk door ene tandarts tanden & kiezen laten repareren die volgens zijn collega niet te redden vallen .
nog even voor de duidelijkheid beide tandartsen hebben een dossier van 28 jr tandartsbezoeken tot hun beschikking met aardig wat foto s .
helaas sta ik er niet lachend op , hoop in toekomst wel met eigen / kunst tanden is nog de vraag dan
Re: gemiste diagnose tandarts ?
even globaal, en alleen van foto zonder mondonderzoek: GEEN indicatie voor totaalextractie en kunstgebit..Wel enig botverlies, maar lijkt mij nog niet in de categorie ernstige parodontitis. Leeftijd is ook een factor (beeld foto is minder ernstig voor/ bij iemand van 60 dan bij iemand van 30..). Er is sprake van parodontitis, maar kan ook best zijn dat ie niet meer actief is en de schade al jaren geleden gebeurd is en nu al weer even stabiel. Daar is dossier voor nodig en oude foto's. Gezien de botlijn twijfel ik eraan of het echt een nog actief proces is.
Het is jammer dat ik de foto niet kan vergroten/bewerken.
Probleem ondersnijtand is relatief eenvoudig oplosbaar denk ik.
wel een gebit waar wat werk aan is, als je heel lange termijn gaat kijken. Oorzaak/reden van verlies van de diverse kiezen is daar wel een factor in, factor roken ook, algemene gezondheid etc etc. Oftewel lange termijn plan maken waar alle factoren in meegenomen zijn. Maar op het oog lijkt mij alleen verlies van 1 ondersnijtand onvermijdelijk. Naast de OP zijn ook diverse solofoto`s onontbeerlijk.
Het is jammer dat ik de foto niet kan vergroten/bewerken.
Probleem ondersnijtand is relatief eenvoudig oplosbaar denk ik.
wel een gebit waar wat werk aan is, als je heel lange termijn gaat kijken. Oorzaak/reden van verlies van de diverse kiezen is daar wel een factor in, factor roken ook, algemene gezondheid etc etc. Oftewel lange termijn plan maken waar alle factoren in meegenomen zijn. Maar op het oog lijkt mij alleen verlies van 1 ondersnijtand onvermijdelijk. Naast de OP zijn ook diverse solofoto`s onontbeerlijk.
Re: gemiste diagnose tandarts ?
@ vroem
Dank je voor je reactie ,
Ik maak er op uit , dat in mijn situatie een 3e opinion & een lange termijn prognose zeker geen overbodige luxe is .
Dank je voor je reactie ,
Ik maak er op uit , dat in mijn situatie een 3e opinion & een lange termijn prognose zeker geen overbodige luxe is .
Re: gemiste diagnose tandarts ?
3e opinion parodontologie: parodontitis her en der ernstig met name bij de tanden boven en onder
maar overal aanwezig 6 tot 9mm .
2 ondertanden moeten getrokken worden twijfel over 2 overige onder snijtanden
3 twijfelkiezen trekken/ wortelkanaalbehandelingen
1kies moet er sowieso uit afgebroken na wortelkanaalbehandeling ( niet op foto erna gebeurd)
terug bij de tandarts
besloten voor gehele onder en boven prothese te gaan ,
gebaseerd op bovenstaand advies , roken , ervaringen met vele mislukte wortelkanaalbehandelingen ,
partiele prothese nodig zijn voor alles wat getrokken moet worden en wat er al ontbrak ,door diabetes blijvend gevoelig voor parodontitis .
om op het onderwerp gemiste diagnose terug te komen , ik ben niet verder in discussie gegaan met mijn voormalige tandarts. verschil zal wel in definitie van ernstig liggen.
voor nu :
afgelopen woensdag links boven en onder kiezen laten trekken stap 2 rechter kiezen volgt a.s. donderdag zodra prothese klaar is worden de tanden getrokken en begint het wennen aan een prothese .
de hoop gevestigd op het pijnloos eten van een gebakje in maart ( verjaardag)
maar overal aanwezig 6 tot 9mm .
2 ondertanden moeten getrokken worden twijfel over 2 overige onder snijtanden
3 twijfelkiezen trekken/ wortelkanaalbehandelingen
1kies moet er sowieso uit afgebroken na wortelkanaalbehandeling ( niet op foto erna gebeurd)
terug bij de tandarts
besloten voor gehele onder en boven prothese te gaan ,
gebaseerd op bovenstaand advies , roken , ervaringen met vele mislukte wortelkanaalbehandelingen ,
partiele prothese nodig zijn voor alles wat getrokken moet worden en wat er al ontbrak ,door diabetes blijvend gevoelig voor parodontitis .
om op het onderwerp gemiste diagnose terug te komen , ik ben niet verder in discussie gegaan met mijn voormalige tandarts. verschil zal wel in definitie van ernstig liggen.
voor nu :
afgelopen woensdag links boven en onder kiezen laten trekken stap 2 rechter kiezen volgt a.s. donderdag zodra prothese klaar is worden de tanden getrokken en begint het wennen aan een prothese .
de hoop gevestigd op het pijnloos eten van een gebakje in maart ( verjaardag)
Re: gemiste diagnose tandarts ?
combinatie roken en diabetes is inderdaad redelijk killing voor een gebit vaak...
Met die informatie had de eerste tandarts die aan bod kwam na de 2,5 jaar niet geweest te zijn toch wat meer moeten doen.
Met die informatie had de eerste tandarts die aan bod kwam na de 2,5 jaar niet geweest te zijn toch wat meer moeten doen.
